ENDODONZIA

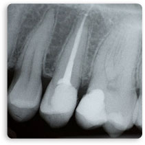
L'Endodonzia è quella branca dell'odontoiatria che si occupa delle terapie dell'endodonto, ovvero la parte interna del dente, che contiene la polpa dentale. Il dente infatti non è interamente formato dalla dentina e dallo smalto, ma custodisce al suo interno degli elementi connettivi e nervosi, che formano appunto la polpa dentale. La corona, la parte più esterna del dente, quella che si erge dalle gengive, contiene la camera pulpare, dalla quale partono dei canali radicolari che raggiungono l'apice della radice.
Il numero di canali e radici non è sempre uguale, e cambia da dente a dente. In linea di massima si può dire che i denti anteriori hanno un solo canale e una sola radice, nei premolari è possibile trovare due canali per altrettante radici, mentre nei molari si arrivano ad avere tre radici e a volte anche quattro canali.

Dopo anni di esperienza maturata su centinaia di pazienti
il Dott. Marchisio e il Dott. Zigoni eseguono interventi di DEVITALIZZAZIONE con la massima attenzione fino alla risoluzione del problema.
L'importanza di una cura canalare eseguita secondo determinati protocolli risulta importante per evitare eventuali problemi futuri al paziente. Il trattamento di un dente varia da 2 a più sedute, dipende dal numero di radici da trattare. Durante il trattamento di Devitalizzazione e a fine terapia vengono fatte sempre delle radiografie di controllo per valutare l'effettiva riuscita della cura.
